密密麻麻,26岁女子体内长了上百颗!医生提醒:这件事很多人还在做
浙江宁波26岁女白领小薇(化名)
为了赶时间长期不吃早餐
前段时间开始腹部胀痛
到医院一检查才发现
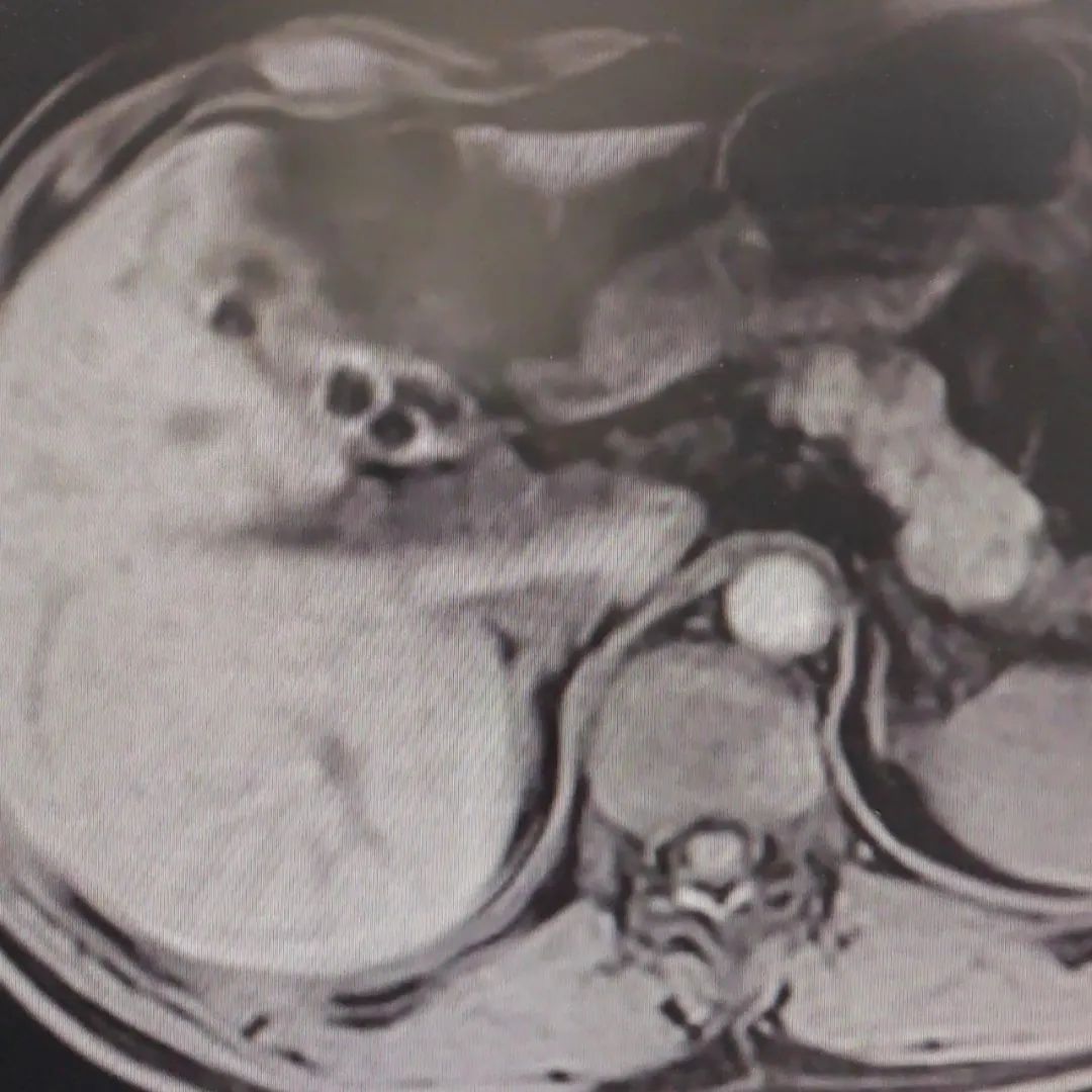
胆囊里密密麻麻长满了结石

不吃早餐
26岁女子胆囊里长了上百颗结石
和许多“上班族”一样,小薇不吃早餐,觉得这样可以“节省时间”。
可就在三个月前,小薇冷不丁感到右上腹一阵胀痛,痛感尚能忍受,持续了大约半个小时。
一开始,她以为是消化不良,直到几天后,相似的疼痛又出现了,她这才意识到,身体可能出了问题。
在当地医院检查后,小薇确诊胆囊充满型结石。影像可见,她的胆囊里密密麻麻地长满了结石,数量有上百颗。

随着疼痛出现的频率越来越高,起初是2到3周一次,后来每隔三四天就会发作,严重影响她的日常生活,小薇在妈妈的陪同下,来到宁波一家医院肝胆胰外科就诊。
接诊医生告诉她们,从各项检查结果来看,如果长期不治疗,极易诱发急慢性胆囊炎,继发胆管炎和胰腺炎,甚至引发癌变,建议进行手术。
术后,小薇也终于见到了困扰她多时的“罪魁祸首”,粗看是一堆灰绿色的小碎石,单颗直径几毫米,数了数有一百多颗。
医生分析,
这和她长期不吃早餐有关。
不吃早饭危害竟有这么大?
其实,不仅仅是早饭,
长期不按时吃饭也会影响胆囊健康。
胆囊结石的高发人群有哪些?
生活中我们该如何保持胆囊健康?
一文梳理↓↓↓
为什么不吃早饭会影响胆囊健康?
小薇的经历并非个例。随着生活节奏的加快,许多年轻人选择“省略”早餐,甚至长期不吃早餐,这种不良习惯恰恰成为胆囊结石的“温床”。
医生介绍,胆囊是储存和浓缩胆汁的器官,需要消化食物时,胆囊收缩排出胆汁。夜间胆囊持续存储胆汁,如果早上不进食,胆汁就无法排出,在胆囊内不断浓缩,到一定程度,会析出晶体附着在胆囊壁上,这些结晶日积月累地沉积,逐渐变成了胆囊结石。
医生:最好6到8点吃早餐
医生建议,最好在早晨6到8点进食早餐。如果因为工作等原因,难以在6-8点进食早餐的话,哪怕喝一杯水,也有较大帮助。
医生还提到,胆囊结石成因复杂,除了不吃早餐,高脂肪、高胆固醇饮食,以及肥胖、久坐等生活方式,都可能增加患胆囊结石的风险。胆囊结石预防胜过治疗,按时吃早餐,饮食上做到少油、少胆固醇、不过量摄入食物,再结合运动,能较好地预防胆囊结石。
胆囊结石高发人群
女性:雌激素影响胆囊排空引起胆汁瘀滞,促发结石形成。而女性体内雌激素水平更高。因此较男性更易患胆固醇结石,胆囊结石患者中女性明显多于男性。
饮食不规律及肥胖者:饮食偏荤喜甜者,脂肪和胆固醇摄入多,易形成胆固醇结石。甜食促进胰岛素分泌,会加速胆固醇沉积。经常不吃早餐会使胆酸含量减少,胆汁浓缩,促使结石形成。肥胖者大多脂肪和胆固醇摄入过多,加之活动较少,易发生胆囊结石,肥胖者胆囊结石的发病率比正常人高约5倍。
年长者:随年龄增长发病率逐渐增高,多发于40~60岁。
长期少运动和久坐习惯人群:人进食后胆汁分泌量增加,而久坐容易胃肠道蠕动减慢,不利于食物的消化吸收和胆汁排泄,导致胆汁中胆固醇与胆汁酸比例失调,胆固醇易沉积下来。
如何保持胆囊健康?
拒绝油腻
少喝酒,多饮水
戒酒可减少对胆囊的不良刺激。
按时吃饭
一日三餐,营养均衡。按时进餐,可通过促进胆囊排空,降低胆汁中胆固醇的饱和度。
合理控制体重
超重和肥胖者应减轻体重 ,但减重应循序渐进(<1.5kg/月 ),因热量摄入极低或减肥手术而快速减重者每日摄入脂肪不应低于7g~10g,以确保胆囊收缩和胆汁循环功能良好。
经常进行体育锻炼
平常要注意适当参加体育锻炼,能够减少身体肥胖的现象,避免出现胆囊炎或者胆囊结石。
来源:广州日报综合自浙江之声、央视新闻