咳嗽二十多年,天一冷就犯!CT一查,这里被堵死了
“医生,我这咳嗽都二十多年了,天一冷、一累就犯,黄脓痰一个劲儿地往外涌。”
天气一冷,张师傅(化名)的咳嗽
就像闹钟一样准时响起
最近“倒春寒”,加上过年操劳
张师傅的咳嗽声又响了
……
本期专家

汝触会
杭州市红十字会医院呼吸与危重医学科主任、主任医师
个人简介
擅长慢性气道性疾病、肺部感染性疾病、胸膜疾病、肺部肿瘤等诊断及治疗。
1
咳嗽了二十多年
像闹钟一样准时响起
在杭州市红十字会医院呼吸与危重症医学科里,张师傅无奈地说着自己慢性咳嗽反复的困扰。
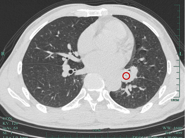
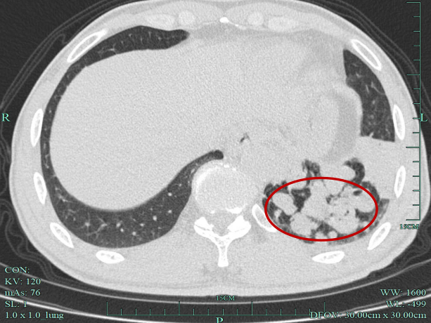
接诊的汝触会主任仔细问诊及查体后,发现张师傅年轻时有过肺结核感染史。结合这一重要信息,汝医生为其安排了胸部CT检查。很快,胸部CT影像提示多发囊状支气管扩张,更糟糕的是,这些扩张的支气管里已经被痰栓堵得严严实实。
汝医生介绍,我国目前仍是结核病高负担国家,支气管扩张在结核后肺损伤患者中占35%~86%。很多既往肺结核患者,特别是未经正规治疗患者,起初只是偶尔咳几口白痰,没当回事,结果病情悄然发展,最终演变成日咳夜咳、大量脓痰,甚至反复咯血。


患者胸部CT可见支气管内痰液堵塞,多发囊状支气管扩张
为什么肺结核治好后
支气管会“闹脾气”?
肺结核是一种由结核分枝杆菌引起的肺部感染性疾病。随着疾病发生、发展,结核分枝杆菌可引起支气管阻塞、支气管周围纤维化、支气管壁的弹性纤维等破坏,导致各级支气管逐渐变形、扩张。
就像水管被掰变形后没法恢复原样,扩张的支气管形态扭曲,纤毛运动也变弱,痰液根本排不出去,长期堵在管腔里,成了细菌滋生的“温床”,反复感染自然就让咳嗽总也治不除根,随便一个诱因——天冷、劳累、免疫力下降,就能让症状急剧加重。
2
被结核后支气管扩张盯上
该怎么应对?
记住三个秘诀:控痰、镜清、强免疫,这组“组合拳”打下去,能有效减少感染频率,大幅提高生活质量。
控痰
把痰液清出去,不给细菌留机会
排痰是应对支气管扩张的核心,光靠祛痰药还不够,中西医结合效果更佳。
常规祛痰药软化痰液,再配合中药贴敷、熏药,加上体位引流,让黏糊糊的痰液顺利排出来,从源头减少细菌定植。
镜清
深部痰栓搞不定,气管镜来帮忙
如果痰液变成了黏稠的痰栓,堵在深部支气管里,常规方法根本排不出来,就可以让气管镜出马。
这个操作能直观看到气道内部情况,直接把痰栓吸除,清理掉气道里的“卫生死角”,还能留取标本做检测,让医生精准用药,效果立竿见影,就像给气道做了一次深度清洁。
强免疫
筑牢身体防线,减少发作诱因
支气管扩张总复发,说到底还是免疫力扛不住,所以增强体质是关键。
按时接种流感疫苗、肺炎链球菌疫苗,别让感冒肺炎找上门;日常均衡饮食、适度锻炼,散步、呼吸操都是不错的选择,把身体底子养起来,天冷、劳累这些诱因,就很难再触发咳嗽咳痰了。
经过一系列个体化的中西医结合治疗,“我感觉压在胸口二十年的大石头搬走了,咳嗽立马轻松了,气也顺了!”张师傅惊喜地发现,不仅症状立竿见影地缓解,复查血象感染指标也明显下降了。
汝医生提醒,肺结核的康复,不是治好了就结束,后续的肺部养护同样重要。
曾患过肺结核的朋友,一旦出现长期反复咳嗽、咳脓痰,别不当回事,及时到呼吸科检查,早干预、早治疗,才能远离结核后支气管扩张的困扰,天冷也能畅快呼吸!
供稿:杭州市红十字会医院(凤起院区)